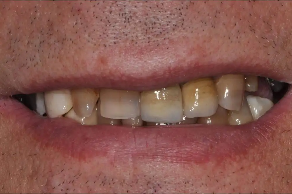
Bellezza e salute sullo stesso piano: questo, in sintesi, il punto di partenza dell’odontoiatria estetica. Si tratta di una serie di trattamenti che, grazie allo sviluppo scientifico e al progresso tecnologico, consentono di restituire un bel sorriso a chi lo ha perso a causa di denti macchiati, fratturati, affollati, mancanti o separati da larghi spazi.
Tra gli interventi di estetica dentale più ricorrenti, si trovano l’applicazione di faccette e lo sbiancamento delle arcate dentali: le prime, realizzate in porcellana o materiale composito, vanno a rivestire completamente il dente o l’intera arcata interessata, restituendo un sorriso naturale al paziente. Lo sbiancamento dentale (scopri di più), invece, garantisce risultati altrettanto duraturi e di qualità, grazie all’impiego di sostanze in grado di rimuovere dallo smalto macchie di caffè, fumo e ingiallimenti dovuti all’avanzare dell’età. Altri interventi estetici, noti al grande pubblico, possono essere le ricostruzioni dentali estetiche, riabilitazioni protesiche e piccole operazioni di chirurgia. Sono trattamenti sicuri e indolori che permettono a ognuno di regalare nuova bellezza al proprio sorriso nel rispetto di ogni tessuto orale.




Grazie alle moderne tecniche di odontoiatria estetica e ai nuovi materiali, è possibile riportare alla luce un sorriso naturale anche in situazioni difficili. Una volta l’unico modo per recuperare denti compromessi era ricoprirli con capsule dentali magari con una struttura in metallo che poi traspariva vicino alla gengiva. Oggi, invece, è possibile ottenere un risultato estetico del tutto simile al dente naturale.
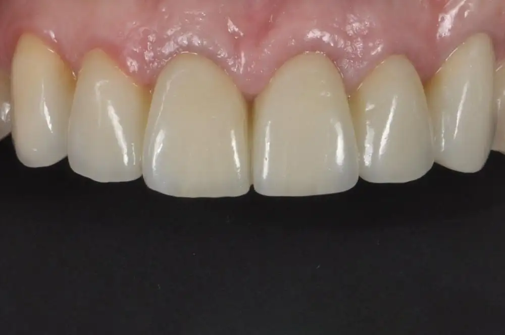
Grazie alla continua ricerca e sperimentazione, oggi possiamo sostituire il metallo con nuovi materiali bianchi e tralucenti: il disilicato di litio e la zirconia. Il disilicato di litio è una vera e propria ceramica di estrema durezza che raggiunge le migliori caratteristiche meccaniche quando viene “incollata” sul dente in maniera adesiva. Grazie all’adesione, il restauro diventa un tutt’uno col dente: lo riporta alla funzione corretta e diventa invisibile confondendosi tra i denti naturali.
La zirconia è un materiale ancora più robusto che ha sostituito la vecchia metallo ceramica nella maggior parte delle situazioni. Ha una resa estetica eccellente e può dare vita a corone (capsule) estremamente sottili ma allo stesso tempo solide e durature.
Spesso non è più così!
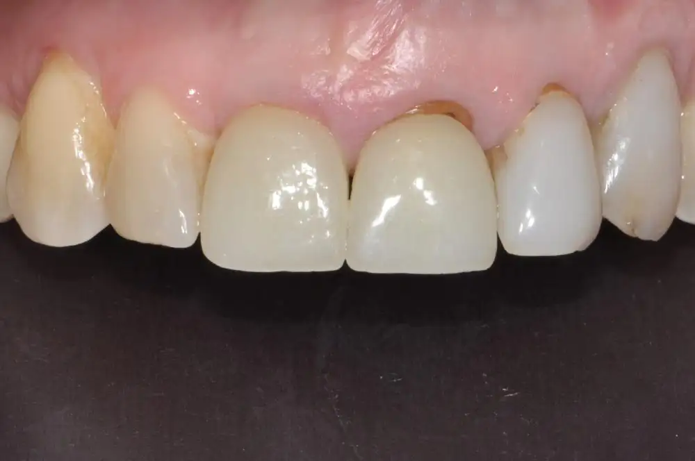
Le faccette dentali, conosciute anche come faccette estetiche, sono involucri di ceramica che vengono applicati sulla superficie esterna dei denti per migliorarne l’aspetto estetico, nascondendo vari tipi di difetti che possono riguardare la forma, il colore o il malposizionamento del dente stesso.
Le faccette dentali estetiche sono considerate come delle protesi particolari, infatti, essendo realizzate in porcellana o ceramica, vengono cementate sulla superficie dei denti, tramite appositi materiali adesivi. Le faccette dentali, però, non sono adatte tutti i casi: un’attenta valutazione è necessaria per scegliere il trattamento migliore.
Esse assicurano un’estetica ottimale, una lunga durata nel tempo senza discolorazioni e un’armonia funzionale con gli altri denti.
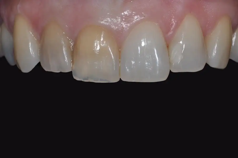
Per ottenere il sorriso voluto la prima fase è la progettazione: oggi ci aiutano i software di smile design ovvero è possibile realizzare, da una foto del viso. la simulazione realistica con il nuovo sorriso. Oltre a ciò, molto spesso, facciamo “provare” il nuovo sorriso prima ancora di iniziare con il mock up. Significa stampare un materiale estetico sui denti del paziente per vedere le nuove forme, questo ci permette anche di modificerle fino ad arrivare all’estetica voluta.
Stabilito le forme si procede alla preparazione minimale dei denti e all’impronta (solitamente digitale). Nella seguente seduta, le faccette verranno incollate con una procedura di cementazione estremamente affidabile e il paziente potrà tornare a sorridere il piena libertà.
Anche su molari e premolari usiamo sempre meno le corone tradizionali. Per evitare di intaccare il dente sano, poniamo rimedio solo nelle zone rovinate grazie alle corone parziali in ceramica integrale. Rispetto alle grosse otturazioni, riducono il rischio che il dente si possa fratturare e rispetto alle corone preservano tessuto sano con un minor costo sia biologico, che economico per il paziente.
Studio Dentistico Ferlin è un centro specializzato in estetica dentale in provincia di Verona, con le migliori tecnologie per curare i tuoi denti in modo efficace e sicuro.
Ci puoi trovare a Legnago, facilmente raggiungibile da Minerbe, Cerea, Villa Bartolomea, Bovolone.
Se vuoi ritrovare il tuo sorriso, contattaci con fiducia per maggiori informazioni: valuteremo con attenzione tutte le tue necessità e domande e ti risponderemo entro 48 ore dalla tua richiesta!





