I problemi di allineamento dentale o di posizione sbagliata dipendono principalmente da 2 tipi di cause:
Genetiche: La dimensione dei denti e la grandezza delle mascelle che li devono contenere dipendono da geni diversi e indipendenti. Per questa ragione vi possono essere denti troppo piccoli con conseguenti spazi fra l’uno e l’altro, o denti troppo grandi che non trovano lo spazio sufficiente per allinearsi nelle arcate dentali.
Geneticamente ereditiamo dai genitori o dai nonni anche la posizione di mascella e mandibola e non sempre sono coordinate fra loro. A volte la mascella è troppo avanti e i denti sembrano scappare fuori dalla bocca, a volte lo è la mandibola magari con una chiusura inversa fra i denti sopra e sotto.
Ambientali/Abitudini viziate: Oltre ai geni anche come si comporta il bambino influisce. Vi sono abitudini come il succhiamento del dito, la deglutizione atipica o la respirazione sempre a bocca aperta che, se prolungate, possono davvero deformare le ossa e portare i denti in una posizione sbagliata.

È importante capire il prima possibile come procede la crescita del bambino, intercettare gli eventuali problemi e, quando necessario, intervenire per cambiare le abitudini o creare le condizioni per una crescita armonica.
Dobbiamo pensare che nel bambino le ossa non sono ancora fisse ma hanno una grande plasticità e con semplici trattamenti ortodontici si può ristabilendo l’equilibrio della bocca e evitare trattamenti molto più lunghi e complessi in seguito.




La conseguenza più diffusa è il disagio psicologico e questo può avere forti ripercussioni sull’autostima.
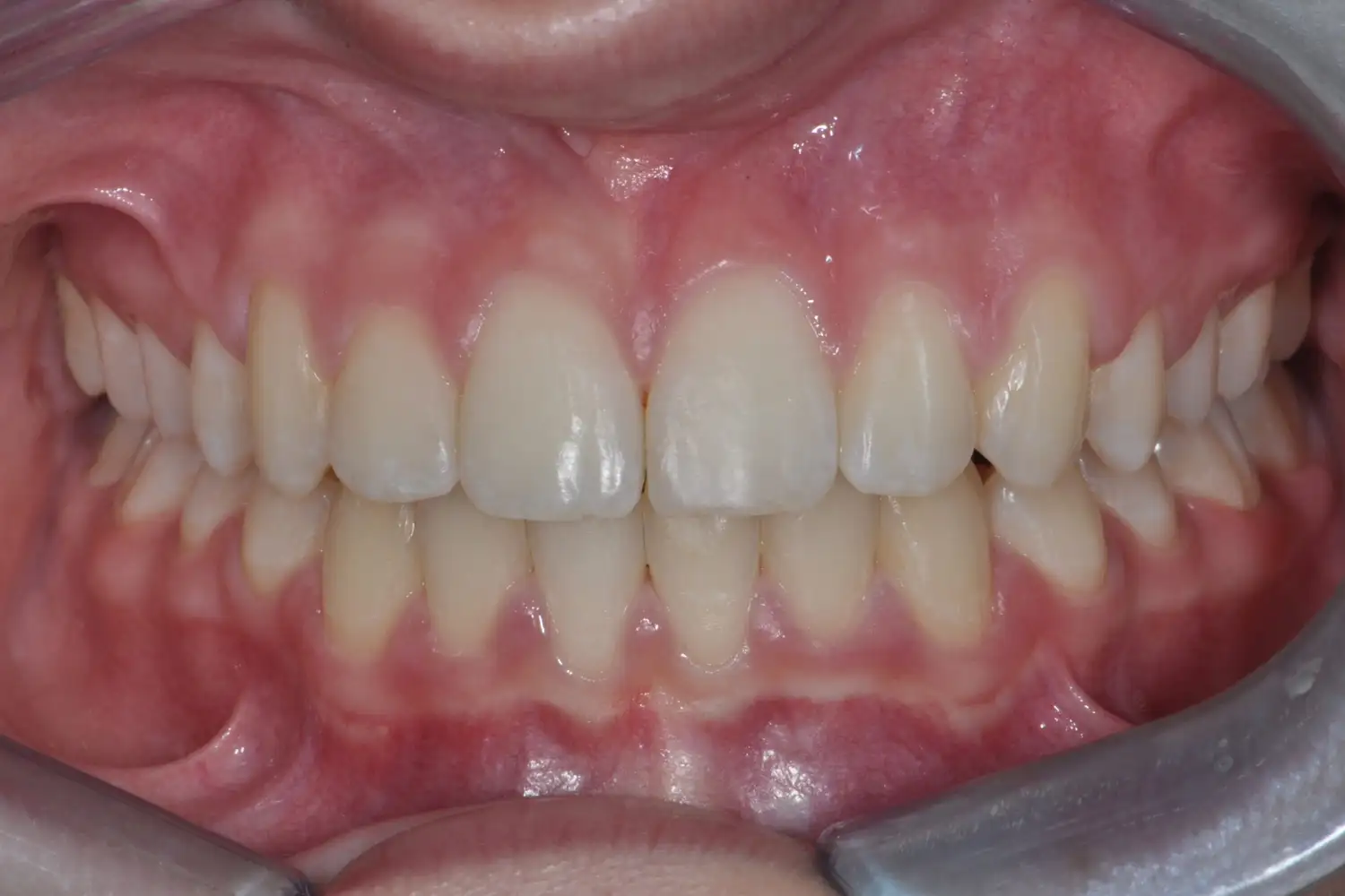
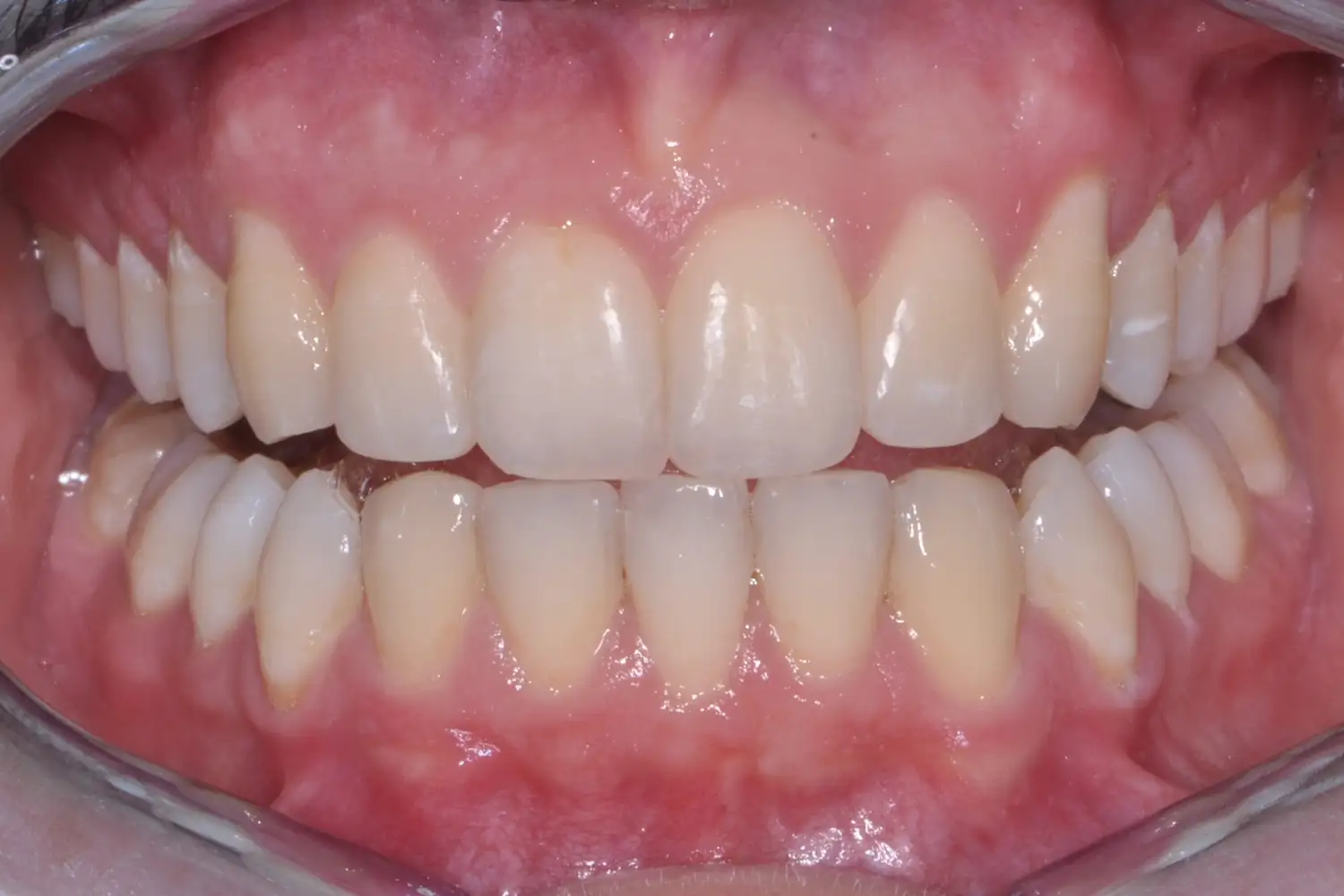
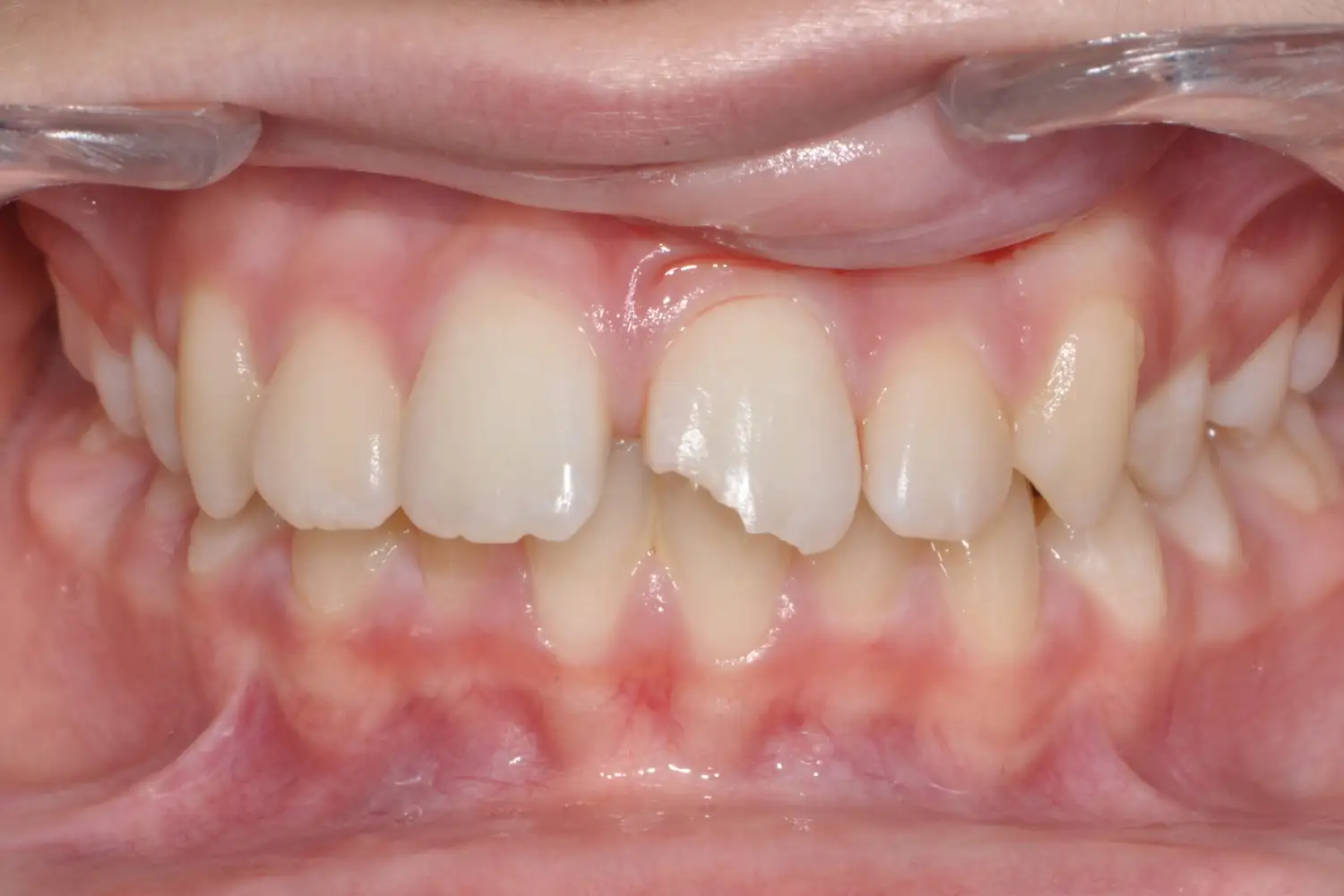
Ma il problema non è soltanto estetico, una posizione sbagliata dei denti porta a una scorretta masticazione e rendere particolarmente complicata la pulizia giornaliera.
Vi può essere un accumulo di placca, cibo e batteri con conseguente maggior rischio di carie o parodontite (piorrea) nel tempo e frequente alitosi. D’altro canto, la cattiva masticazione può dare anche una cattiva digestione.
Si può arrivare a alterazioni dell’armonia del volto, difficoltà a chiudere le labbra in modo naturale, e, in alcuni casi, a dolori facciali, mal di testa, difficoltà nella fonazione, dolori alla schiena ed acufene.
È fondamentale la diagnosi precoce, una prima visita di controllo si può già fare verso i 4 anni.
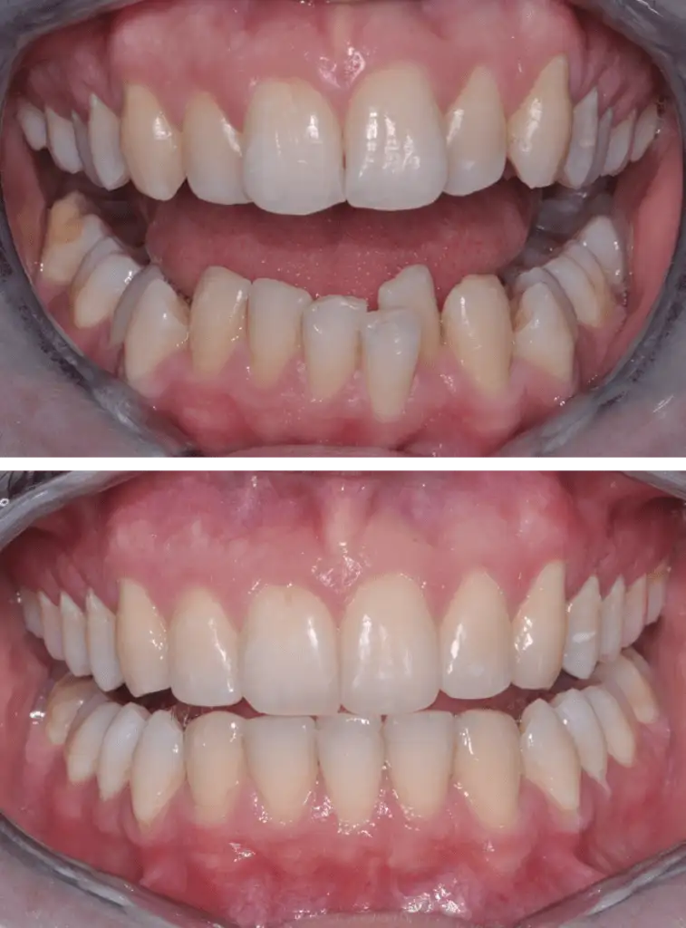
Oggi abbiamo a disposizione tecniche e trattamenti eccellenti ma come già detto più passa il tempo più si riducono le possibilità a disposizione e aumenta la complessità.
Sono un esempio i trattamenti estrattivi nel paziente di 15-16 anni o adulto: quando i denti non possono stare fisicamente all’interno dell’arcata e le ossa hanno ormai la loro forma definitiva può essere necessario estrarre alcuni denti, ciò spesso potrebbe essere evitato intervenendo a 9-10 anni.