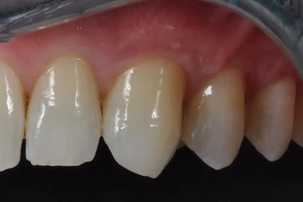
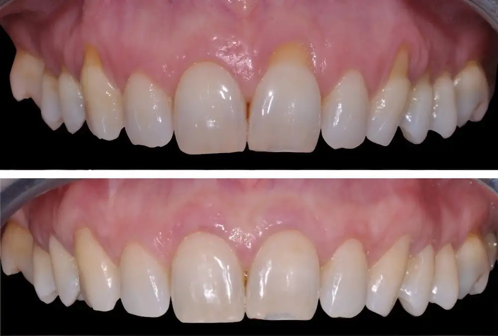
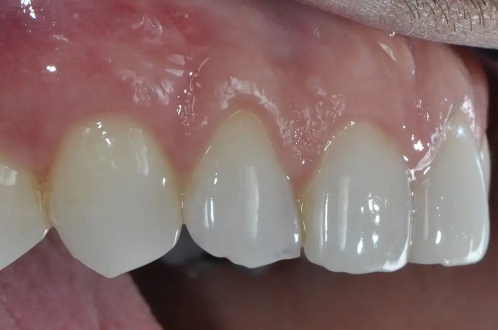
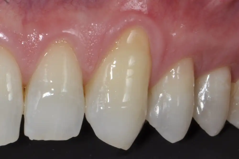
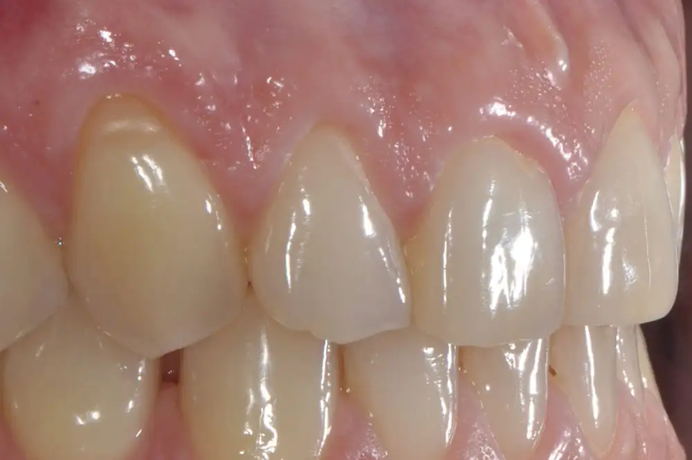
Le recessioni gengivali sono spesso definite come “gengive ritirate” o ”denti allungati”. Avviene è lo spostamento del bordo della gengiva verso la radice del dente con scopertura di una parte della superficie della radice stessa.
Questi difetti gengivali spesso colpiscono pazienti con un buon grado di igiene orale ma abituati a manovre di spazzolamento sbagliate.
Uno spazzolamento troppo energico, movimenti orizzontali, uno spazzolino con setole troppo dure possono traumatizzare le gengive che rispondono “ritirandosi”. In questi casi, le recessioni molte volte sono accompagnate dalle abrasioni, cioè dalla perdita di struttura dentale, smalto e/o dentina. Anche un uso errato del filo interdentale può dar luogo alla formazione di piccoli taglietti verticali che esitano in recessioni.
Le recessioni possono derivare anche da trattamenti ortodontici che hanno portato le radici dei denti troppo alll’esterno, al di fuori della parete ossea, magari in pazienti con gengive sottili e per questo poco resistenti. Altri cause possono essere corone o otturazioni mal eseguite che “spingono” contro la gengiva e la infiammano.
Le recessioni si curano in 3 modi:




Il trattamento è consigliato quando creano un danno estetico, nei casi di ipersensibilità dentinale, e per evitare la formazione di carie sulla superficie della radice.
Le tecniche chirurgiche di trattamento sono diverse, la scelta della tecnica dipende da molti fattori:
Oggi è possibile, grazie anche alla combinazione di più tecniche e comunque all’affinamento avvenuto nel tempo della chirurgia muco-gengivale, trattare contemporaneamente recessioni che coinvolgono più denti della stessa arcata dentaria in unica seduta chirurgica. Diminuendo quindi il numero degli interventi necessari e lo stress per il paziente.
L’intervento si svolge in anestesia locale, è praticamente indolore e l’unica attenzione per il paziente è quello di aver cura della zona dell’intervento per alcuni giorni affinché la guarigione possa essere ottimale.