Le mascherine trasparenti dentali sono dispositivi che correggono la posizione dei denti e migliorano l’estetica del sorriso. Sono fatte su misura per ogni paziente, utilizzando una scansione digitale della bocca.
A differenza dei tradizionali apparecchi ortodontici in metallo, le mascherine trasparenti sono praticamente invisibili e possono essere rimosse durante i pasti e la pulizia dei denti. E’ importante indossarle regolarmente per ottenerne il massimo beneficio. Le mascherine trasparenti applicano una pressione controllata sui denti, spostandoli gradualmente nella posizione desiderata. Ciascuna di esse viene indossata per un periodo di tempo specifico, durante il quale provvederà a spostare i denti a poco a poco.
Le mascherine trasparenti rappresentano oggi una soluzione molto pratica, indolore ed esteticamente gradevole per correggere una vasta gamma di problemi di allineamento dentale, garantendo un sorriso perfettamente dritto e uniforme.
Le mascherine trasparenti sono realizzate su misura per ogni paziente utilizzando un materiale termoplastico resistente e trasparente. Le mascherine trasparenti dentali sono diventate sempre più popolari negli ultimi anni grazie alla loro efficacia nel correggere i problemi dentali senza compromettere l’aspetto estetico del sorriso.
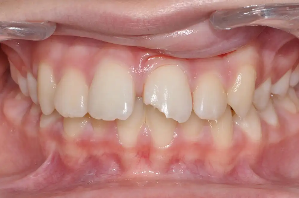
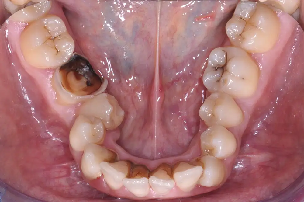
Le mascherine trasparenti rappresentano una soluzione ideale per molti pazienti che desiderano correggere il proprio allineamento dentale. In particolare, queste possono essere utilizzate da adulti e adolescenti con diverse necessità, come i problemi di malocclusione, di sovrapposizione o di distanza eccessiva tra i denti. Le mascherine trasparenti possono essere utilizzate anche da chi ha già precedentemente seguito un trattamento ortodontico e desidera migliorare ulteriormente l’allineamento dei propri denti.




La conservazione corretta delle mascherine trasparenti è fondamentale. Ecco alcuni suggerimenti su come conservarle in modo appropriato:
1. Conservare le maschere in un contenitore protettivo: quando non si indossano le mascherine, è importante conservarle in un contenitore protettivo per evitare che si danneggino o si contaminino.
2. Non lasciare le mascherine esposte alla luce diretta del sole: può causare deformazioni del materiale delle maschere.
3. Non utilizzare prodotti chimici forti per la pulizia: possono danneggiare il materiale degli allineatori trasparenti.
4. Evitare di piegarle o torcerle: potrebbe causarne la rottura o deformazione, quindi maneggiarle con cura.
5. Pulire regolarmente il contenitore: usa acqua tiepida e sapone delicato per prevenire la formazione di batteri o cattivi odori.
È sufficiente un consulto durante il quale sarà eseguita una serie di fotografie, prese le scansioni della bocca e valutate alcune particolari radiografie. Il materiale sarà inviato al centro di elaborazione e in poco tempo si potrà avere una Pre-Visualizzazione 3D del piano di trattamento e sapere quanto durerà.





Uno dei nostri professionisti ti ricontatterà il prima possibile!
Uno dei nostri professionisti ti ricontatterà il prima possibile!