L’implantologia è una tecnica sicura e consolidata per sostituire denti mancanti o danneggiati.
Utilizza impianti dentali stabili e duraturi che offrono:
Gli impianti dentali sono la scelta ideale per recuperare la funzionalità e l’estetica del tuo sorriso con risultati affidabili
“Una nuova dentatura in meno di 24 ore: il carico immediato”
L’impianto a carico immediato permette di ottenere una dentatura fissa in appena 24 ore o adirrittura nella stessa seduta in cui vengono posizionati gli impianti.
Questo significa che il paziente può tornare a masticare e sorridere in tempi brevissimi, godendo di comfort e praticità.
La scelta tra un trattamento implanto-protesico convenzionale o immediato dipende dalla situazione clinica:
La decisione su quale tecnica adottare dipende principalmente dalla stabilità dell’impianto nell’osso. Grazie agli esami avanzati disponibili nel nostro studio, possiamo valutare la soluzione migliore per ogni paziente.
Ripristinare immediatamente uno o più denti rappresenta un grande vantaggio:




“La tecnica Toronto: una soluzione innovativa per l’intera arcata dentale”
La tecnica Toronto utilizza impianti dentali per fissare stabilmente un ponte fisso che sostituisce l’intera arcata dentale. Grazie alla sua eccezionale stabilità e resistenza nel tempo, rappresenta una soluzione altamente estetica ed efficace per ripristinare la funzionalità dei denti mancanti.
Generalmente, il numero di impianti varia da 4 a 6, a seconda delle esigenze specifiche del paziente. Un’innovazione che ha rivoluzionato l’implantologia è stata il protocollo All-on-Four, sviluppato negli anni ’90. Questo metodo prevede:
Pur essendo ancora una tecnica valida, l’approccio deve essere sempre personalizzato in base alla situazione clinica del paziente.
Per garantire il successo del trattamento, è fondamentale effettuare una valutazione accurata tramite immagini radiografiche dettagliate. Il nostro studio è dotato di strumenti all’avanguardia, come panoramico e TAC di ultima generazione, che permettono di effettuare un’analisi completa già durante la prima visita.
Negli ultimi anni, alcune cliniche, sia in Italia che all’estero, hanno promosso soluzioni implantari anche per pazienti che avrebbero potuto recuperare i propri denti naturali. Questi approcci non sempre rispettano l’etica professionale, privilegiando interventi non necessari.
Nel nostro studio, l’etica è al centro del nostro lavoro. Per noi, curare in modo “etico” significa proporre trattamenti implantari solo quando realmente indispensabili. Disponiamo di tecniche avanzate che permettono di recuperare e mantenere denti anche in condizioni difficili, offrendo soluzioni conservative quando possibile



“Implantologia computer guidata: precisione e comfort per il tuo sorriso”
L’implantologia computer guidata è una tecnica innovativa che rende i trattamenti più rapidi, sicuri e precisi. Ecco come funziona e quali sono i suoi vantaggi:
Questa tecnica offre un’esperienza più serena per il paziente e risultati eccellenti, grazie alla combinazione di innovazione e attenzione ai dettagli.
“Implantologia: una soluzione moderna per i denti persi”
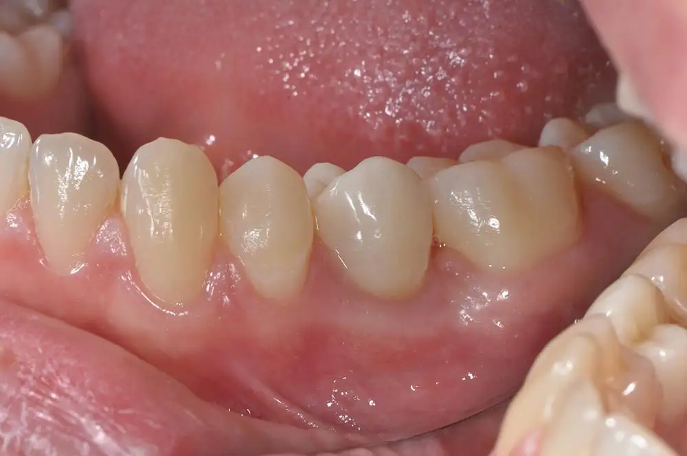
Oggi, un’implantologia ben eseguita consente di sostituire i denti mancanti in modo semplice, sicuro e duraturo. È una tecnica che offre risultati stabili nel tempo e un aspetto naturale.
Quando si perde uno o pochi denti vicini, l’implantologia presenta un grande vantaggio rispetto alle tecniche tradizionali:
Questa soluzione non solo ripristina la funzionalità della bocca, ma restituisce anche un sorriso naturale, migliorando comfort e qualità della vita.
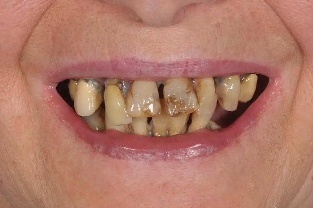
Nel caso manchino molti denti, l’implantologia permette di realizzare riabilitazioni fisse anche quando l’unica alternativa sarebbe la protesi mobile, ovvero la classica dentiera. Grazie agli impianti si può tornare a masticare ristabilendo un giusto equilibrio digestivo e nutrizionale, oltre che ad una maggiore sicurezza nel parlare e nel sorridere.
I vantaggi:
La paura del dentista è un problema comune che trattiene molte persone dal prendersi cura della propria salute orale. Spesso, esperienze negative passate o semplicemente l’idea di sottoporsi a un trattamento odontoiatrico possono generare ansia e insicurezza.
Nel nostro studio, siamo specializzati nel creare un ambiente sereno, accogliente e privo di giudizi. Il nostro obiettivo è farti sentire a tuo agio in ogni fase del trattamento.
Sedazione Cosciente: Un’Esperienza Senza Stress
La sedazione cosciente è una delle tecniche che utilizziamo per rendere i nostri pazienti rilassati e sereni durante l’intervento. Questo metodo ti permette di rimanere sveglio, ma in uno stato di profondo rilassamento, eliminando l’ansia e la percezione del dolore.
Questa tecnica è particolarmente indicata per chi non visita il dentista da anni per paura e per chi deve affrontare interventi complessi.
Un Approccio Empatico e Personalizzato
Il nostro team è formato per accogliere con empatia e comprensione chiunque si senta a disagio nel visitare il dentista. Non verrai mai giudicato per aver trascurato la tua bocca o per la tua ansia: siamo qui per aiutarti, non per criticarti.
Con noi, il tuo sorriso non è solo un investimento nella tua salute, ma anche nella tua serenità.
Come mantenerla: Segui le nostre raccomandazioni post-operatorie e partecipa ai controlli di igiene periodici semestrali o in base all’indicazione medica. La durata di un manufatto ben mantenuto è ovviamente di gran lunga maggiore.

Un percorso di eccellenza nel campo dell’odontoiatria e dell’implantologia”
Laureato con 110 e lode in Odontoiatria presso l’Università di Ferrara, ha proseguito la sua formazione conseguendo il prestigioso Master in Implantologia Osteointegrata all’Università di Padova. La sua carriera è arricchita dalla partecipazione a numerosi corsi e congressi specialistici, sia a livello nazionale che internazionale, per rimanere sempre aggiornato sulle tecniche più innovative.
È stato insignito del Premio della Società Italiana di Protesi e Riabilitazione Orale per il miglior caso di estetica su impianti dentali.
Autore di articoli scientifici e relatore in corsi e congressi, è riconosciuto come esperto nei campi dell’implantologia e della riabilitazione multidisciplinare, contribuendo attivamente alla diffusione delle migliori pratiche odontoiatriche.
La sua missione è prendersi cura di ogni paziente con attenzione e sensibilità, offrendo trattamenti di altissima qualità in un ambiente accogliente, per restituire benessere e un sorriso pieno di fiducia.